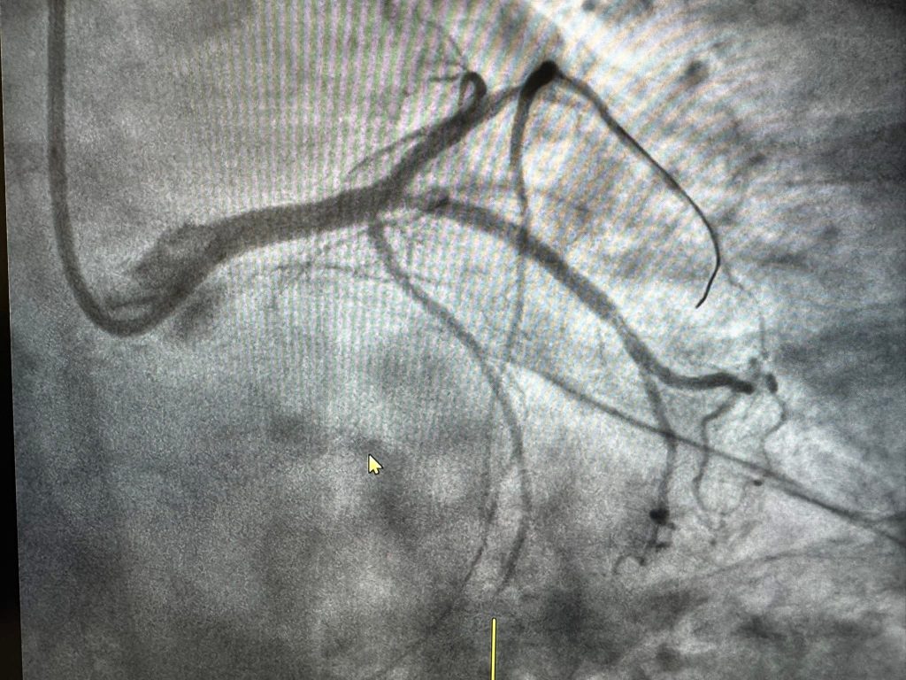
O pacientă de 77 de ani a fost salvată de echipa Compartimentului de Cardiologie Intervențională din cadrul Spitalului Județean de Urgență Târgoviște, condusă de medicul primar cardiolog Toni Ovidiu, după ce a suferit un infarct miocardic acut în primele ore ale dimineții.
Intervenția a constat în implantarea unui stent și dezobstrucția completă a vasului afectat, procedura fiind realizată cu succes, fără complicații.
Medicul Toni Ovidiu și echipa sa subliniază importanța intervenției rapide în cazurile de infarct și transmit mesajul de prevenție: „Ai grijă de inima ta!”



























